名医だから任せられる確かな歯列矯正
一生に一度の矯正治療なら
当院にお任せください
- 東淀川症例数No.1※2025年度実績
- 院長による無料
カウンセリング - すべての治療法に対応可能

名医だから任せられる確かな歯列矯正
一生に一度の矯正治療なら
当院にお任せください
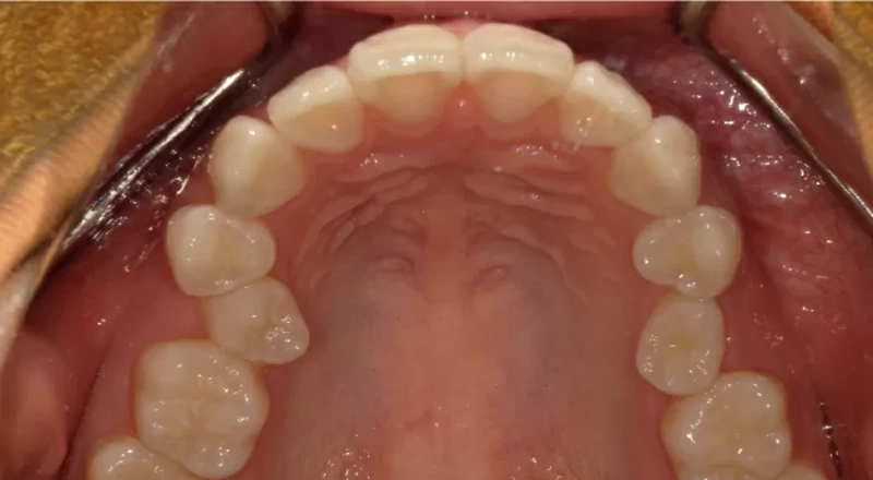
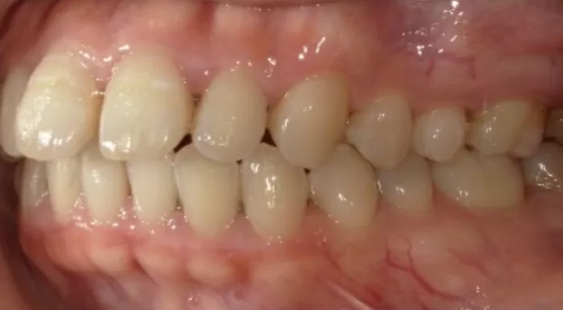
あなたの歯並びも、
こんなに綺麗になります!
口腔内のトータルプロデュースをご提供
主訴:ガタガタ、治療期間:1年6ヶ月、費用:105万円、リスク:疼痛の可能性があります

ゴールデン歯科・矯正歯科は、東淀川区症例数No.1です。また、東淀川区の唯一のプラチナプロバイダーの称号も受賞いたしました。これまでの経験と実績からどんな歯並びでも、患者さんを笑顔に導くために、的確なインビザライン治療をご提供いたします。※2025年度実績


ゴールデン歯科・矯正歯科は、これまで様々な歯並びの治療を行ってまいりました。左記上記のような歯並びはもちろん、他の医院でマウスピースではできないと断られた患者さんでも当院なら治療できます。

矯正治療には様々なアプローチがあります。当院では、ワイヤー矯正からマウスピース矯正まで、ほぼすべての矯正装置を完備しており、患者様それぞれの症例に合わせた、最適な治療プランをご提案いたします。




主訴
歯のガタガタが気になる
治療内容
ゴールデンスマイル矯正(インビザライン+光加速装置+ホワイトニング)
治療期間
1年6ヶ月
治療費
1,050,000円
治療後のリスクについて
疼痛の可能性があります


主訴
すきっ歯と咬み合わせが気になる
治療内容
インビザライン
治療期間
10ヶ月
治療費
935,000円
治療後のリスクについて
疼痛の可能性があります


主訴
歯がでこぼこで咬みにくい
治療内容
インビザライン
治療期間
1年6ヶ月
治療費
880,000円
治療後のリスクについて
疼痛の可能性があります




主訴
すきっ歯と出っ歯が気になる
治療内容
インビザライン(部分矯正)
治療期間
3ヶ月
治療費
605,000円
治療後のリスクについて
疼痛の可能性があります
矯正歯科は歯科医院によって
仕上がりが大きく変わる
のをご存じですか?
治療のゴールを
見据えた治療計画・治療結果は、
歯科医院によって大きく左右されます
そのため、矯正治療は
正しい治療計画を立てられる
歯科医院選びが
とても重要です。
当院は、矯正治療だけではなく
虫歯治療・噛み合わせ・審美治療などの治療も可能です。
どんな口腔内のお悩みも解決できる高い技術で、
患者さん一人ひとりの将来を
見据えたサポートを致します。
無料矯正相談実施中!
まずはお気軽にご相談ください!
矯正治療を考えている矯正治療は決して安い金額ではありません。
だからこそ、失敗はしたくない。
矯正はしたいけど、ほんとに治るのか不安
矯正に興味はあるけど、1歩踏み出せない
価格を抑えて、無理なく矯正治療をしたい

そんなあなたにこそ
ゴールデン歯科の矯正治療を!
ゴールデン歯科の
矯正治療を!
インビザライン治療では、治療を開始する前に、どこの位置にどのような順番で歯を移動するかという全過程を治療計画に盛り込む必要があります。そのためには矯正治療全般への経験と知識が必要で、それらの知識を用いて計画を立てることで予測実現性の高い治療を行うことができるようになります。

治療を開始すると衛生士がマウスピースの使い方や日常生活で気をつけることなどのレクチャーを行います。ドクターだけでなく衛生士もアタッチメントを接着する作業などを行うため、当院では日頃から新しい知識と技術の取得を心がけて、より質の高い治療を目指しています。

最新型3D光学スキャナー(iTero)やCTによる骨の検査や顔貌写真から、口腔内を多角的に分析し、審美的かつ、機能的な歯並びを獲得できます。

治療期間を短縮できる光加速装置を活用し、スピーディーに矯正治療を行える上に、同時にホワイトニングで歯も白くできるオリジナルの矯正プランがあるので、患者さんの多様なご要望に応えることが可能です。

5年間の保証があるので、矯正治療が終わっても、やっぱりもう少し前歯を下げたいなど要望があれば、ご満足頂けるまでとことん治療致します。また後戻りしてしまった場合も無料で再矯正できるので安心して治療を始められます。(部分矯正の場合は2年保証)

虫歯や抜歯の治療だけでなく歯周病やかぶせ物の治療も行ってるので全ての治療が当院で完結します。また、院長はインプラント専修医でもあるため、現在歯がないところがあっても矯正治療とインプラント治療を組み合わせたり、セラミックなどの審美治療にも精通しているため、審美性と機能性を兼ね備えた歯並びをトータルコーディネートすることができます。

| 相談料 | 無料 |
|---|---|
| ライト&エクスプレス (軽度矯正) |
550,000円 |
| モデレート (中度矯正) |
770,000円 |
| コンプリヘンシブ (通常矯正) |
935,000円 |
| ゴールデン スマイル矯正 |
1,050,000円※インビザライン+光加速装置+ ホワイトニング(2ヶ月分のジェル) |
| ファースト (1期治療) |
495,000円 |
| フェーズ2 (2期治療) |
935,000円(当院で1期治療を受けられた場合:495,000円) |
| 表側ワイヤー矯正 | 935,000円 |
| 裏側ワイヤー矯正 (ハーフリンガルを含む) |
1,210,000円 |
| TAD (固定用スクリュー) |
1本:27,500円 |
※検査料・調整料・保定装置料全て含まれております。
※自由診療は歯科医院によって値段設定が異なりますが、
値段設定には理由があります。
値段だけで決めることはオススメできません。
ライト&エクスプレスは、歯列不正が軽度の症例に適用され、使用するマウスピースの枚数は片顎14枚(両顎で28枚)以内と制限があります。
基本的に前歯部の矯正治療に適しており、奥歯を含んだ噛み合わせをしっかり改善したい場合には不向きですので、限られた症例でしか適用されません。
モデレートは、使用するマウスピースの枚数が片顎26枚(両顎で52枚)以内と制限され、そのステージ数で、綺麗に歯並びが改善される方に向けた治療プランです。
矯正治療に伴う抜歯が必要のない場合や、奥歯を大きく移動させる必要のない症例に適用されます。
コンプリヘンシブは、前歯や奥歯を含め、全ての歯の矯正治療に適用されます。マウスピースの使用枚数も無制限で、難症例にも対応でき、非常に自由度が高く精密な歯並びの改善が可能なプランです。
最もスタンダードなインビザラインでの治療法で、機能性・審美性を追求した理想的な歯並びを目指す方にはお勧めです。
ゴールデンスマイル矯正は、「短期間で口元をキレイに、そして白い歯で素晴らしい笑顔を!」というコンセプトのプランです。
インビザラインは通常1週間で交換していくものですが、PBM(光加速装置)を用いることで5日で交換することができます。
さらにホワイトニングのジェルも付いてるので、矯正しながら歯を白くすることができるおすすめのプランです。
「インビザライン(コンプリヘンシブ)+PBM(光加速装置)+ホワイトニングジェル(2ヶ月分)」
ファーストは、混合歯列期(乳歯と永久歯の交換期)にある子どものためのマウスピース型矯正装置です。対象年齢は7歳〜11歳ごろで、歯並びを整えながら、あごの大きさを広げて永久歯が正しい位置から生えるための土台を作ります。(1期治療)
治療開始より1年半以内を目安に1期治療を完了し、その後、永久歯が生え揃うまでリテーナーを装着しながら経過観察を行い、必要に応じて2期治療を行います。
フェーズ2は、永久歯が生え揃った12歳以上の子供を対象に、永久歯の機能と見た目を最大限に高めるために、歯並びや咬み合わせを改善する目的としたプランになります。
ファーストの治療をしていると、していない場合に比べて、フェーズ2の治療期間はかなり短く、抜歯をせずに矯正できることが多いです。
お支払い回数は、
3~120回まで選択頂けます。
支払い回数24回までなら無金利です。
※コンプリヘンシブの場合の
お支払いイメージ
1
支払い回数120回(10年)月々9,245円
2
支払い回数36回(3年)月々27,397円
3
支払い回数24回(2年)月々38,960円
トータルフィーシステムでは、検査料や毎回の調整費用、保定装置費用が全て含まれているため、治療期間に左右されることなく安心して治療を受けていただくことが可能です。
5年無料保証(部分矯正の場合は2年無料保証)もございますので、計画通りに矯正治療を終えた後でも、「やはり前歯をもう少し下げたい」や、「後戻りして段差ができてしまったので治したい」といった要望にも、保証期間内であれば無料で治療させていただきます。





まずはあなたの
お悩みを無料相談で
お聞かせください
患者さんが現状抱えているお悩み等お聞かせください。患者さんに合った最適な治療プランをご提案するとともに、
後悔しないご満足頂ける治療をご提供致します。まずは、不安な点・懸念点等お気軽にご相談くださいませ。
お電話・WEB予約にてご予約いただき、無料矯正相談にお越しください。患者さんの歯のお悩み・治療に対する不安や悩みを伺い、あらゆる治療方法・治療期間などを説明いたします。(※WEB予約にて空きがない場合は、お電話にてご確認頂けますとお取りできる場合がございます。)

当院では、無理に薦めさせて頂くようなことは絶対にありません。矯正相談後に治療方法や治療に関わるリスク、期間、費用など十分にご検討いただければと思います。ご検討いただき、矯正治療を行うことになった場合、お申し込みをいただき準備に入ります。

歯科用CT・セファロ・レントゲン撮影・咬み合わせの採得やお顔・お口の写真撮影を行い、今の歯並びの状態、および問題点を詳しく調べていきます。歯の根の状態を把握し、治療計画を立てるため、より的確・安心・安全な治療が可能となります。

精密検査の結果をもとに患者さんに適した治療計画を立て、具体的な治療方法や期間をご説明していきます。その上で、患者さんが納得して治療に臨めるように十分に話し合い、ご理解とご納得を頂いたら、実際の治療に入ります。

マウスピースによる矯正であれば、マウスピース用のボタンを適切な位置に取り付けて装着します。ワイヤーによる矯正であれば、適切な位置にブラケットを取り付けていきます。装着後はブラッシングのレクチャーや注意点の案内などを行います。

通常1ヶ月~3ヶ月に1回程度はご通院いただき、歯の動きなどを確認しながら修正点などあれば、その時に調整していきます。また、装置周囲のクリーニングもしっかり行っていきます。

機能、審美面の改善を確認できた段階で、動的治療(歯を動かす治療)は終了します。動かした歯は放っておくとまた元の位置に戻ろう(後戻り)とするので、保定をする必要があります。保定装置(リテーナー)は基本的にマウスピースとなります。また、マウスピースの場合、ホワイトニングも同時に行うことが可能です。保定期間は後戻りしないように、3ヶ月から半年の間隔でご来院いただき、歯列のチェック、口腔内清掃など定期検診を受けていただきます。

「やって良かった」と
思ってもらえるような治療を
歯並びが変われば笑顔も増え、
人生が変わります。
思い立ったら吉日です。
綺麗な歯並びで輝く笑顔で
最高の人生を長く過ごしてください。
少しでも歯並びが気になりましたら
お気軽にご相談ください。

DOCTOR
まずはあなたの
お悩みを無料相談で
お聞かせください
患者さんが現状抱えているお悩み等お聞かせください。患者さんに合った最適な治療プランをご提案するとともに、
後悔しないご満足頂ける治療をご提供致します。まずは、不安な点・懸念点等お気軽にご相談くださいませ。
CLINIC
INFORMATION