2025.11.28

出っ歯はインビザラインで治せる?治療例を交えて解説

インビザライン治療の基本知識と出っ歯への適用性

インビザライン治療の基本知識と出っ歯への適用性

インビザラインは見た目や生活のしやすさから人気の高い矯正方法ですが、出っ歯の原因が歯の傾きなのか骨格なのかで適用可否が変わります。

出っ歯(上顎前突)の定義

上の顎の前歯、または上顎骨全体が前方に突出している状態を指します。正常咬合では、上顎前歯は下顎前歯よりも約2〜3mm前方に位置しますが、これを大きく超える場合を「出っ歯」と呼びます。

「出っ歯(上顎前突)」と一口に言っても、歯の傾きによるもの、骨格の位置によるもの、上下顎の成長バランスによるものなど原因は様々です。

インビザラインで
治療可能な出っ歯の条件

  1. 歯槽性上顎前突
    (歯の傾きによる出っ歯)
    歯槽性上顎前突(歯の傾きによる出っ歯)は、上顎前歯が前に大きく傾いているタイプです。このようなタイプは、歯の傾きをコントロールする事で改善可能です。IPR(歯と歯の間を少し削る)や抜歯を組み合わせて対応することも可能です。
  2. 上顎前歯が唇側に傾いていて
    オーバージェット(出っ歯度)が大きい
    上顎前歯が唇側に傾いていてオーバージェット(出っ歯度)が大きい場合も、ゴム(顎間ゴム)を併用する事で下顎を前に引き寄せる事ができます。
  3. 軽度の下顎後退による相対的な
    出っ歯
    軽度の下顎後退による相対的な出っ歯も、歯の位置調整である程度改善できます。

歯の傾きが原因の場合は、インビザラインで治療しやすいと言えるでしょう。

出っ歯の原因別・
インビザライン治療の適応判定

出っ歯の原因別・インビザライン治療の適応判定

出っ歯(上顎前突)は一言でいうと「上の前歯や上顎が前に出ている状態」ですが、原因によってタイプが異なり、治療法の選択にも直結します。

歯性上顎前突(歯の傾斜が原因)への効果

インビザラインは歯1本ごとの移動をデジタルで設計可能です。傾斜(トルク)コントロールに優れており、前歯の唇側傾斜を内側へ戻す動きが得意とされています。

IPRや顎間ゴムを組み合わせることで、多くのケースに対応可能になります。上顎前歯の突出が減ることで、口元の突出感(Eラインの乱れ)が改善し、口唇閉鎖もスムーズになり、自然な横顔に近づけます。

骨格性上顎前突(顎骨の問題)での
限界

骨格性上顎前突とは、上顎骨そのものが過成長して前方に出ている、もしくは下顎骨が後退していることで「出っ歯」に見える状態になります。

歯の傾斜だけではなく、骨格レベルの不調和が原因になるので、インビザラインでは、限界があります。骨格性が強い場合は、外科的矯正(外科手術+矯正治療)が必要になってきます。

混合性(歯性+骨格性)出っ歯の
治療方針

  1. 混合性の出っ歯(歯性+骨格性上顎前突)は、単純な「歯だけの傾斜」でもなく「骨格だけの問題」でもなく、両方の要素が関与しているため、治療方針は総合的に考える必要があります。
  2. 歯性+骨格性の混合タイプは、診断が最重要になってきます。軽度の骨格性なら、矯正単独で改善可能ですが、中等度〜重度の骨格性なら、外科的矯正(手術併用)が必要になります。

年齢による治療適応の違い
(成人・小児)

小児(成長期)

小児(成長期)は、骨格(顎の成長)がまだまだ成長中です。歯列だけでなく、骨格の成長を利用・コントロールできるのが大きな強みなので、骨格性の出っ歯(上顎前突/下顎劣成長)には特に有効です。

成人(成長終了後)

成人(成長終了後)は、骨格の成長は終了しているので、歯の移動で調整するしかありません。

インビザラインは、歯列の改善に有効ですが、重度の骨格性不正咬合は、外科的矯正併用が必要になることがあります。

インビザラインによる
出っ歯治療の実際の症例

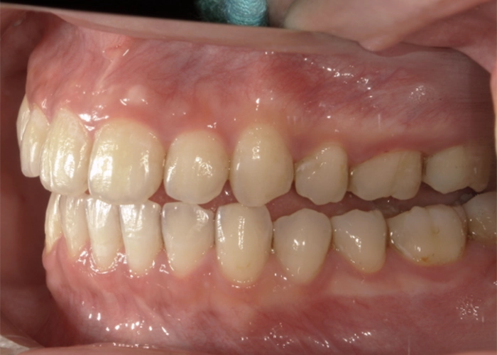
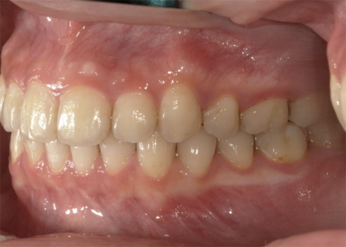
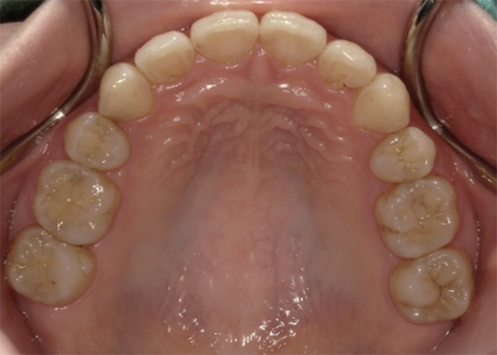
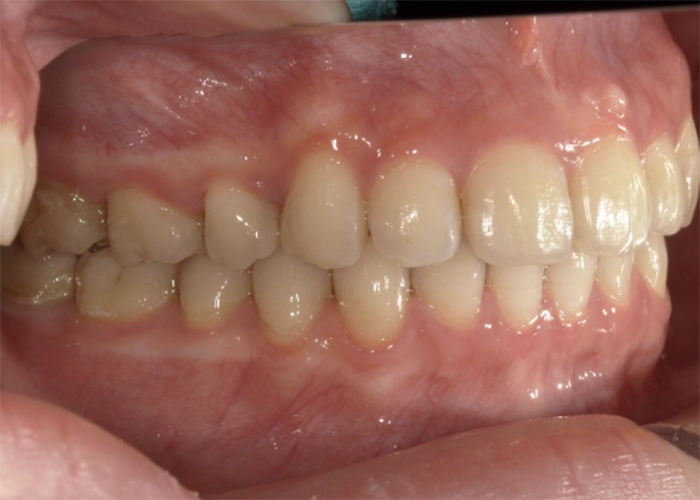
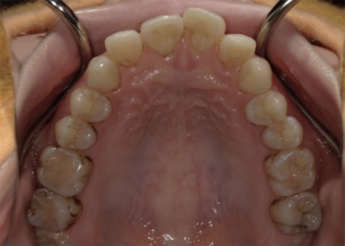
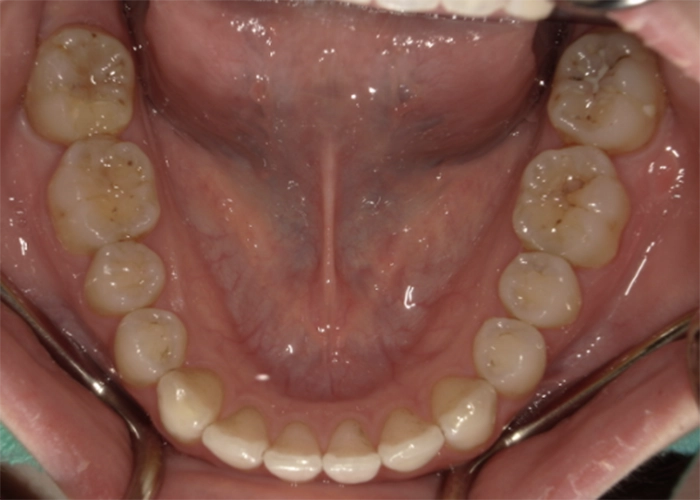
治療前

治療前

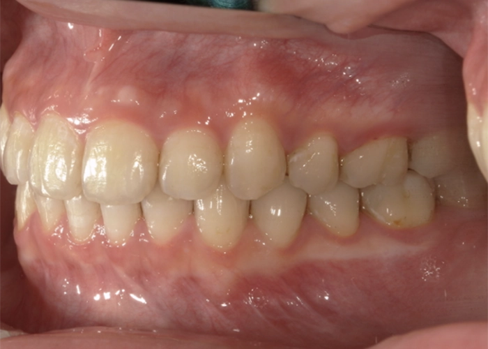
治療後

治療後
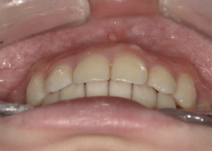
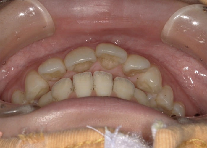
治療前
治療後
治療前
治療後
治療前
治療後
治療前
治療後
治療前
治療後

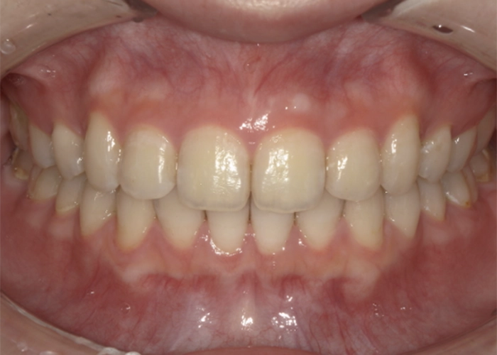
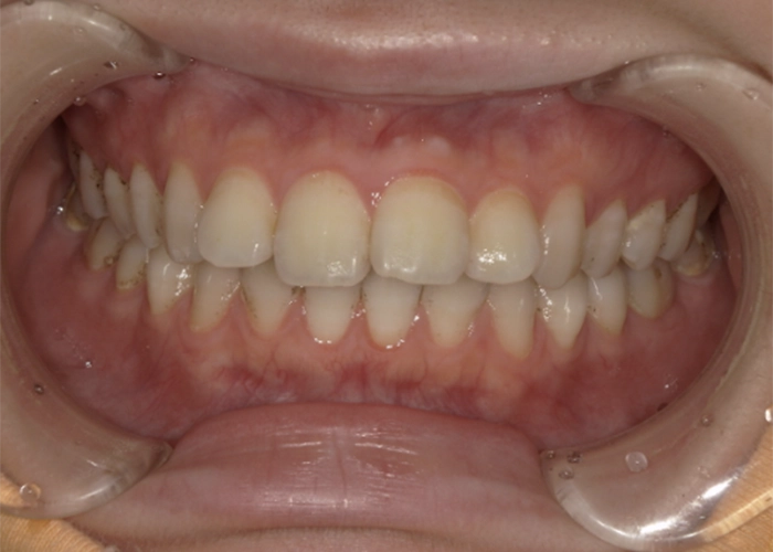
治療前後の口元の変化と患者満足度

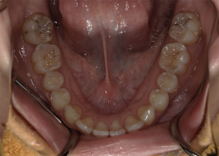
治療前

治療前

治療後

治療後
治療前
治療後

実際のシミュレーション

主訴 出っ歯が気になる
治療期間 24ヶ月
治療費 935,000円
治療内容 インビザライン
治療のリスク 疼痛・近心傾斜の可能性

インビザラインで
出っ歯治療ができないケース

インビザラインで出っ歯治療ができないケース

インビザラインで出っ歯(上顎前突)が治療できない、あるいは単独では不十分なケースがあるので、まとめてみました。

重度の骨格性上顎前突の判断基準

重度の骨格性上顎前突は、オーバージェット10mm以上、セファロでANB角6°以上、Eラインからの著しい口唇突出といった基準で判断されます。

これらは、インビザライン単独では困難であり、外科的矯正(上下顎骨切り術など)を併用する必要があります。

外科矯正が必要な症例の特徴

外科矯正が必要な症例は、骨格性不正咬合が重度、オーバージェット10mm以上や、ANB角6°以上、顔貌や機能に大きな問題を伴うといった特徴をもっています。

成人で骨格性のズレが強い場合は、外科的矯正+矯正治療の併用が唯一の根本的解決法となることが多いです。

歯根の短縮リスクが高いケース

  1. 矯正力が強すぎたり、急激な移動は歯根短縮のリスクが高いです。特に挺出・圧下・大きな回転移動はリスクが高いと言えます。
  2. 短根歯(先天的に根が短い歯)、錐体状・細長い歯根は、支えが弱い為、骨内での吸収が起こりやすいです。
  3. 骨格性不正咬合で大きな補正が必要な場合も、歯に大きな負担がかかるので、リスクは高いと言えます。
  4. 成人矯正(特に30〜40代以降)は、成長期に加えて骨代謝が落ちている為、治療期間が長いと歯根吸収リスクが上がります。

インビザライン出っ歯治療の
流れと期間

出っ歯治療は、精密検査、診断、装置選択、動的治療、保定の流れになります。原因を見極めた正確な診断が、治療期間を左右するポイントになります。

初回相談から治療開始までのステップ

  1. 初回相談 初回相談では、お口の中の写真と口元の写真を撮影させていただき、出っ歯、噛み合わせ、歯並びなどの主訴の確認をします。
    また、矯正の種類について説明し、おおよその治療期間、費用を提示します。 初回相談
  2. 1回目の来院 1回目の来院で、精密検査を行います。主に、顔貌写真やスマイル時の写真などの写真を撮り、レントゲン撮影、口腔内スキャンをします。
    口腔内スキャンや咬合チェック、顎関節や歯周組織の確認は、「歯性なのか骨格性なのか」を判断する為に必要不可欠です。 1回目の来院
  3. 2回目の来院 2回目の来院では、精密検査の結果報告をします。出っ歯の原因の説明や、治療法の選択肢、どのように歯並びが改善されるかのシミュレーション、治療期間と費用の正式提示を行います。
    この段階は、納得して始められるかを確認する大切なステップです。 2回目の来院
  4. 治療開始 治療が開始すると、インビザラインの場合は、アタッチメントの装着や、アライナーのお渡し、着脱指導などが始まります。この時、しっかり使用方法の説明を行います。 治療開始

3Dシミュレーション(クリンチェック)
での治療計画

クリンチェックの治療計画=インビザライン矯正の設計図です。クリンチェックは最初にアライン社が自動で作成しますが、そのまま使うことはありません。

担当医が細かく修正し、最適な力・順序で歯を動かすように調整します。歯科医師がこれをどれだけ丁寧に調整するかによって、治療の精度や満足度が変わってきます。ですので、歯科医院によって治療ゴールは異なります。

インビザラインでの実績数や、自分と似たような症例を見せてもらい、信頼できる歯科医院かどうかを確かめることが大事です。

治療期間の目安と個人差による
変動要因

矯正の治療期間は 症例・年齢・生活習慣・協力度 によって大きく変わります。「短すぎてもリスク」「長すぎても負担」になるため、無理のない適正期間で計画することが成功の鍵です。

大体、軽度で6ヶ月から1年、中度で1.5年から2年、重度で2年から3年でしょう。個人差で変動する要因は、症例の難易度はもちろん、抜歯の有無や患者さんの協力度にも関わってきます。

インビザライン出っ歯治療の
費用相場と保険適用

インビザライン出っ歯治療の費用相場と保険適用

出っ歯の程度や治療範囲(部分・全体)、抜歯の有無などによってかなり変わります。また、見た目と整える矯正治療は自由診療になり、保険適用外になります。ただし、条件を満たす場合は保険適用になる事があります。

症例の複雑さによる費用の違い

費用は 「歯の動かす量」+「治療の難易度」+「期間」 に比例して変わると考えると分かりやすいです。

軽度の出っ歯 軽度の出っ歯では、30〜50万円台で短期治療可能です。
中等度〜重度 中等度〜重度で、80〜120万円程度が一般的です。
骨格性や抜歯併用 骨格性や抜歯併用の場合は、150万円以上になることもあります。

保険適用の条件と自費診療の範囲

通常、矯正治療は「美容目的」とされる為保険は効きませんが、一定の医学的条件を満たす場合のみ適用されます。保険適用になるかどうかは、指定医療機関での精密検査と診断が必須になります。

適用される主な条件 顎変形症、厚生労働省が定める先天性疾患に伴う咬合異常、永久歯の萌出異常(埋伏歯)など。
自費診療の範囲 出っ歯、がたつき、すきっ歯など、審美改善を目的とした矯正や、骨格性の異常がない場合など。

インビザライン出っ歯治療の
メリット・デメリット

インビザライン出っ歯治療のメリット・デメリット

出っ歯治療は「見た目」「機能」「健康」すべてにメリットがあります。ただし、時間・費用・管理の手間・リスクもあるため、治療を始める前にデメリットまで理解して選択することが大切です。

見た目の自然さと社会生活への
影響の少なさ

インビザラインによる出っ歯治療は、自然な見た目を保ちながら矯正でき、社会生活への影響が少ないという点では、特に成人患者さんにとっても大きなメリットになります。

「矯正はしたいけど、人前に出る仕事だから…」と迷っている方に、自信を持って提案できる治療法です。

取り外し可能による口腔ケアの
しやすさ

インビザラインの大きなメリットの一つが「取り外し可能による口腔ケアのしやすさ」です。歯磨きやフロスが普段通りでき、食べ物の制限がほとんどないのが魅力的です。

特に虫歯や歯周病リスクが気になる大人の矯正において、大きなメリットとなります。

ワイヤー矯正と比較した治療効果の
違い

重度症例や骨格性不正咬合に関しては、ワイヤー矯正が有利。見た目や快適性、生活への影響の少なさは、インビザラインが有利になります。

出っ歯治療の場合も、歯性の前突はインビザラインで十分対応可能です。ただし骨格性が強い場合はワイヤーや外科の併用が必要になります。

出っ歯のインビザライン治療後の保定と後戻り防止

出っ歯のインビザライン治療後の保定と後戻り防止

出っ歯(上顎前突)をインビザラインで治療した後は、保定装置(リテーナー)と、後戻り防止の工夫がとても重要になります。せっかく整った歯並びも、保定を怠ると数ヶ月で戻ってしまう事があるからです。

保定装置(リテーナー)の種類と
使用期間

保定装置にもいろいろな種類があり、可撤式(取り外し式)、固定式(フィックスリテーナー)があります。

可撤式(取り外し式) 取り外し式は清掃性と快適さに優れ、交換が必要になります。
固定式(フィックスリテーナー) 固定式は安定性に優れますが清掃管理が必須になります。

使用期間は「最低1〜2年」ですが、成人矯正は長期保定が基本。患者さんには「矯正は装置を外したら終わりではなく、保定が成功の鍵」と強調することが大切です。

後戻りが起こりやすい要因と予防策

矯正治療は「装置が外れたら終わり」ではありません。リテーナー+習癖改善+定期チェックが後戻り防止の3本柱になります。

リテーナーは、治療直後は20時間以上つけますが、安定期になったら夜間のみでも大丈夫です。成人は、長期的にナイトリテーナーを使う事が理想的です。

これらを徹底することで、美しい歯並びを長く維持することができます。

定期検診とメンテナンスの重要性

矯正治療は「装置が外れたら終わり」ではなく、定期検診とメンテナンスで結果を守り続けることが成功のカギです。後戻り防止、リテーナー管理、虫歯、歯周病予防の3つの為に定期的な通院をする事が大切です。

治療効果を長期間維持するための生活習慣

矯正後の美しい歯並びを守るには、呼吸・舌・噛み癖などの改善も必要になってきます。鼻呼吸を意識し、舌を軽く上顎につけて休むのが理想的です。

また、頬杖や片方だけで噛む癖もよくありません。治療は「装置が外れて終わり」ではなく、その後の生活習慣こそが結果を長持ちさせるのです。

インビザライン出っ歯治療の
医院選びのポイント

インビザライン出っ歯治療の医院選びのポイント

インビザラインで出っ歯(上顎前突)の治療を検討する際に、医院選びで見るべきポイントを整理しました。

インビザライン認定医の資格と
経験の確認方法

インビザラインには、年間症例数に応じたステータス制度があります。ブロンズ、シルバー、ゴールド、プラチナ、プラチナエリート、ダイヤモンド、ブラックダイヤモンドなどの段階があります。

公式HPや医院HPでプラチナドクターなどと表記されている場合、それはアライン社(インビザライン提供会社)から認定された症例数の実績を示します。

症例数と治療実績の重要性

症例写真や、治療例の有無は、医院のホームページ、SNSで必ず確認しましょう。実際に出っ歯(上顎前突)のケースをどの程度扱っているかが分かります。

ビフォーアフター写真や、治療方針の解説動画が掲載されていれば、経験の裏付けになります。症例数も、医院選びで大事な要素です。但し、症例数が多い医院=良い医院ではありません。

見た目などの審美面だけでなく、その歯並びが長期に安定するために噛み合わせなどの機能面についても考えられている歯並びにする必要があります。

特に重要なのが、歯をギリギリ横に動かした際に奥歯が当たらない「臼歯離開咬合」が得られていることです。この噛み合わせを得るためには「犬歯(真ん中から数えて3番目の歯)」の位置関係がすごく重要になってきます。

噛んだ状態

噛んだ状態・ギリギリ横に動かした状態

ギリギリ横に動かした状態

噛んだ状態・ギリギリ横に動かした状態

このような噛み合わせだと、奥歯に負担がかからないので、将来歯周病や歯が割れたりして抜歯となるリスクが非常に少なくなるので歯を長持ちさせることができます。

噛み合わせに関しても熟知している歯科医院で診てもらうと、後戻りのリスクも少なく、歯も長持ちできるので健口で健康な人生を送れることになるでしょう。

カウンセリングでの確認事項と
質問リスト

初回カウンセリング時に直接確認できる事はしておきましょう。患者さん自身が安心できるよう、初回相談で次のような質問がベストです。

  • インビザラインで出っ歯の治療経験はありますか?
  • どのくらいの症例数を扱っていますか?
  • 私と似たケースの治療実績はありますか?
  • もしインビザライン単独で難しい場合、どんな治療方法を提案していただけますか?

誠実に答えてくれる先生は信頼できると言えるでしょう。

セカンドオピニオンの活用と
比較検討の方法

セカンドオピニオンをする事で、治療方針の違いを知ることが出来ます。複数の医院の意見を聞くことで、自分に合った方法を選びやすくなります。

比較する際に見るべきポイントは、治療計画、費用・保証制度、医師の経験、通院体制などになります。これらを比較して、自分が納得できる医院を選びましょう。

よくある質問と治療に関する
不安の解消

よくある質問と治療に関する不安の解消

患者さんが抱く効果・期間・痛み・費用・後戻り・通院の不安に、分かりやすく答えることで安心感を与えられるでしょう。

「本当に出っ歯が治るのか?」効果への疑問

インビザラインで出っ歯は治ります。

ただしどの程度まで改善できるか?は症例によって異なるため、精密検査とシミュレーションで確認し、経験のあるドクターに相談することが効果への一番の近道です。

治療中の見た目や日常生活への影響

インビザラインは、透明で目立たず、食事や歯磨きも普段通りできるため、日常生活への影響が少ない矯正方法です。「目立たない」「制限が少ない」「慣れれば快適」という点が、ワイヤー矯正と比べた大きなメリットになります。

失敗やトラブルのリスクと対処法

インビザライン治療にも失敗やトラブルのリスクはありますが、精密な計画、医師の経験、装着時間の管理、定期的なチェックを徹底することで、多くの問題は防げます。

万が一トラブルが起きても「リファインメント」や「再作製」で対応可能になります。

まとめ:インビザラインで出っ歯治療を成功させるために

まとめ

インビザラインで出っ歯治療を成功させるには、

  1. 精密な診断と経験ある医師の計画
  2. 装着時間・通院・生活習慣の徹底
  3. 治療後のリテーナー管理

以上の3つが不可欠です。「やりきる意志」と「信頼できる医院選び」が成功への近道になるでしょう。

WEB予約はこちら