前歯が出っぱっている

口元を気にせず話したい

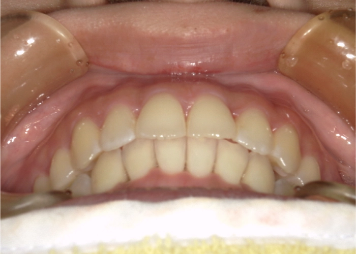
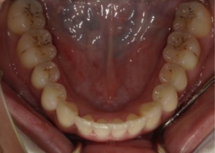
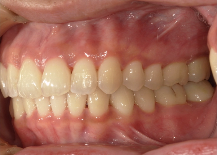
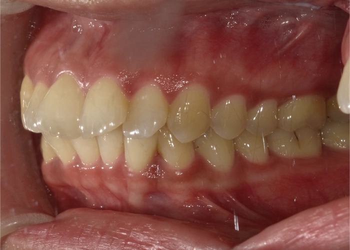
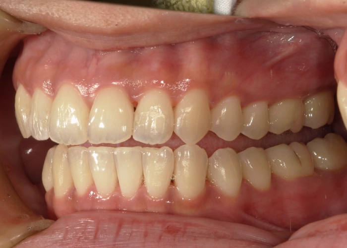
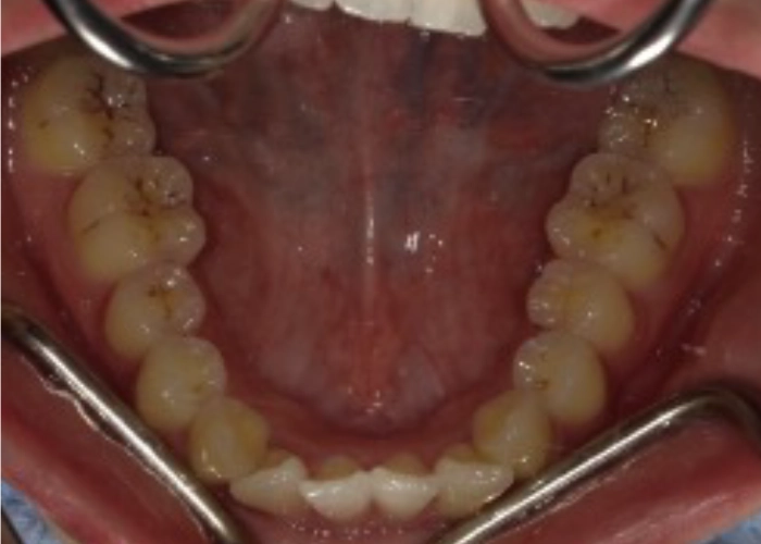
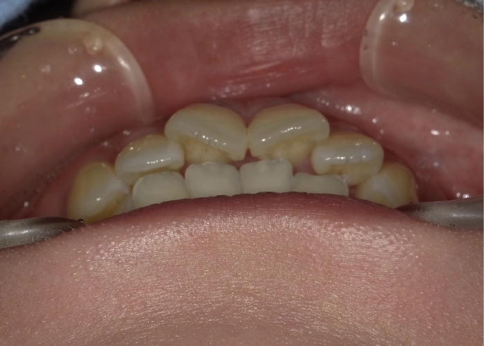
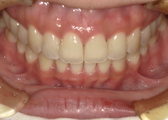
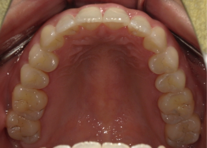
長年、前歯の見た目に悩まされていた方の治療です。「口元を気にせず話したい」というご希望をお持ちでした。前歯の出っ歯と、歯の軸の外開きが認められ、上下噛む面から見た写真では前歯のガタつきとV字歯列が認められます。

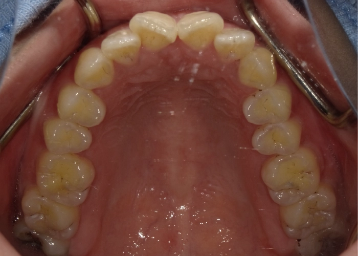
患者様の希望として極力抜歯したくないという要望があったので、マウスピース矯正で、非抜歯で治療することをご提案させていただきました。治療方法は、奥歯を後方に移動させ、IPR(歯と歯の間を極少量削って隙間を作る方法)を行い、歯列を側方に拡大させて、歯のアーチを整え前歯を引っ込めるのと同時に歯の軸の改善を行いました。歯肉退縮が起こらないようCTで骨の状態を確認しながら歯を動かしてます。

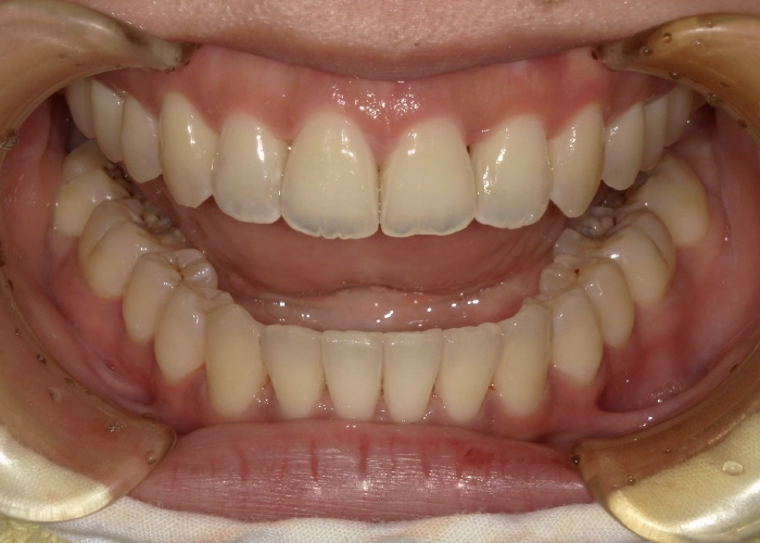
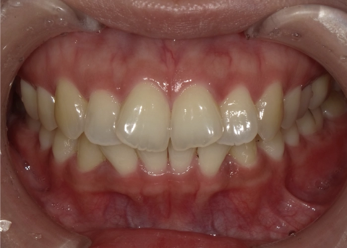
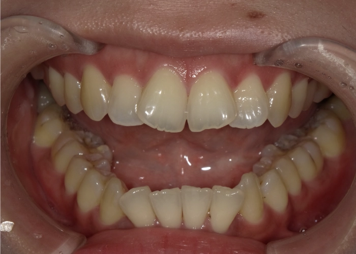
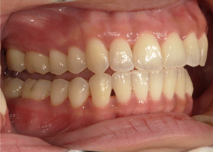
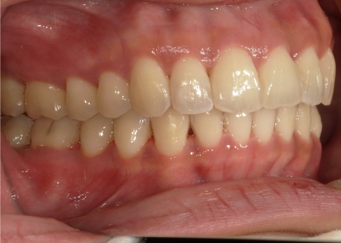
治療後は、見た目が改善され患者様は大変ご満足頂けました。当院では、患者様のQOL(生活の質)の向上を最も大切にしています。治療によって長年のお悩みを解消し、これからの人生を明るく自信を持って思いっきり楽しんで頂くことが我々の使命と思っております。

治療前

矯正歯科
矯正歯科
矯正歯科
矯正歯科
矯正歯科
矯正歯科
矯正歯科
矯正歯科
矯正歯科
矯正歯科
矯正歯科

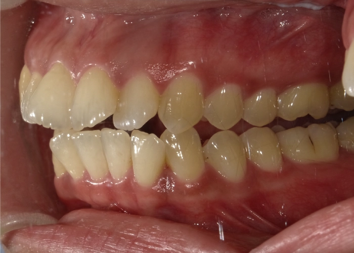
治療後

矯正歯科
矯正歯科
矯正歯科
矯正歯科
矯正歯科
矯正歯科
矯正歯科
矯正歯科
矯正歯科
矯正歯科
矯正歯科

治療前後の比較

治療前

矯正歯科

治療後

矯正歯科
矯正歯科
矯正歯科
矯正歯科
矯正歯科
矯正歯科
矯正歯科
矯正歯科
矯正歯科
矯正歯科
矯正歯科
矯正歯科
矯正歯科
矯正歯科
矯正歯科
矯正歯科
矯正歯科
矯正歯科
矯正歯科
矯正歯科
矯正歯科
主訴 前歯が出っぱっている・軸が外に向いているのが気になる
治療期間 2年1ヶ月、追加3回
治療費 935,000円
治療内容 患者様の希望として極力抜歯したくないという要望があったので、マウスピース矯正で、非抜歯で治療することをご提案させていただきました。。治療方法は、奥歯を後方に移動させ、IPR(歯と歯の間を極少量削って隙間を作る方法)を行い、歯列を側方に拡大させて、歯のアーチを整え前歯を引っ込めるのと同時に歯の軸の改善を行いました。歯肉退縮が起こらないようCTで骨の状態を確認しながら歯を動かしてます。
治療のリスク ブラックトライアングル
矯正歯科ページを見る