当院で行った矯正歯科の症例を歯並びタイプ別にまとめておりますので、ぜひご覧ください。
歯のでこぼこが気になる
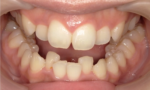
ガタガタで噛みにくい
八重歯と見た目をきれいにしたい
歯のがたつきと出っ歯が気になる
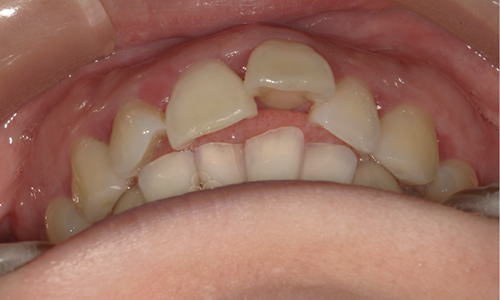
全体的ながたつきを改善したい
前歯の見た目を改善したい
前歯の歯並びを改善したい
噛み合わせを改善したい
前歯の見た目を改善
部分的なすきっ歯を改善したい
出っ歯のせいで口元が気になる
部分的な出っ歯を治したい
口元を気にせず話したい
目立たず早く矯正したい