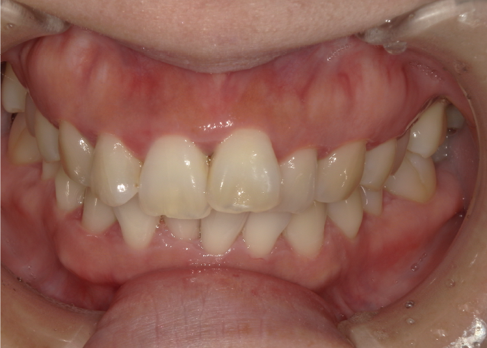
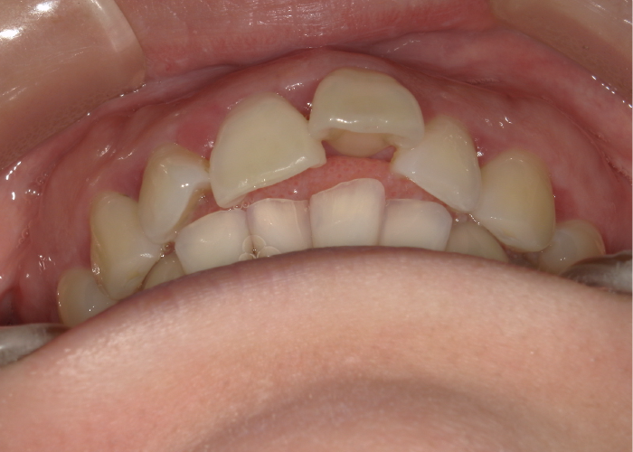
左上前歯が出ている・下の歯のガタガタ

目立たず早く矯正したい

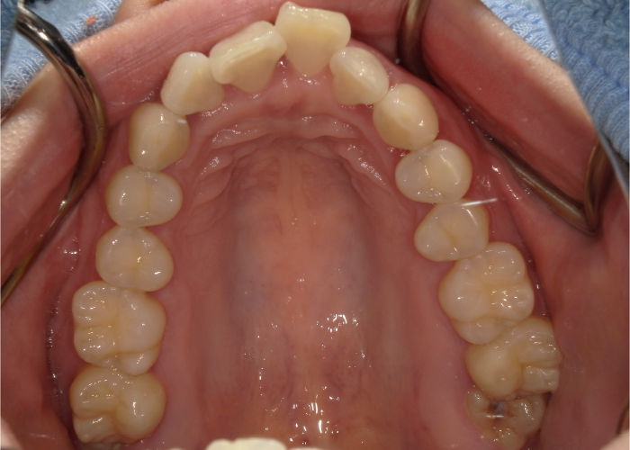
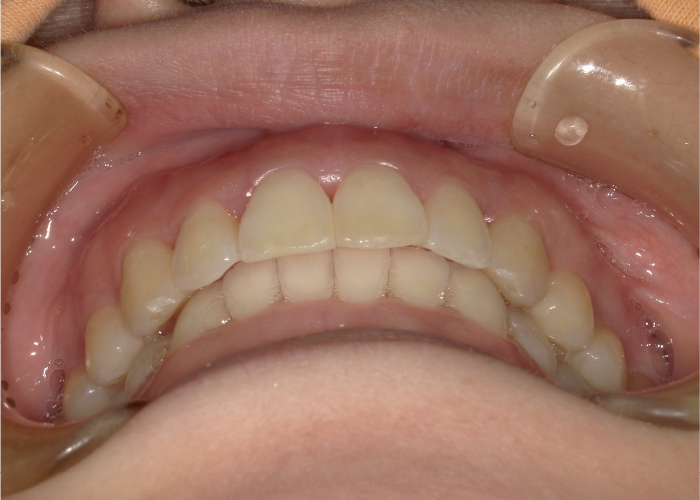
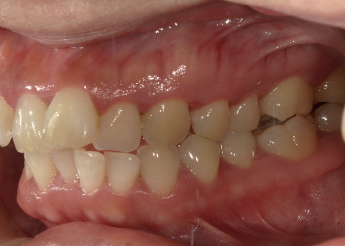
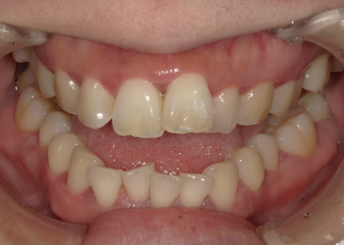
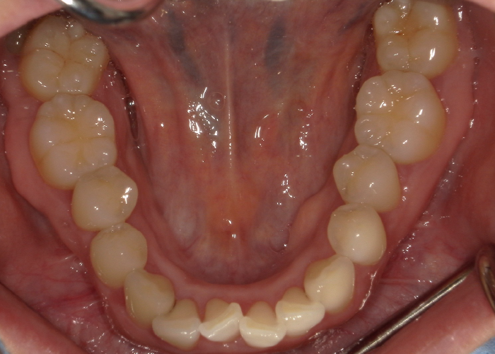
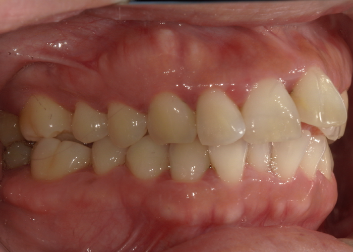
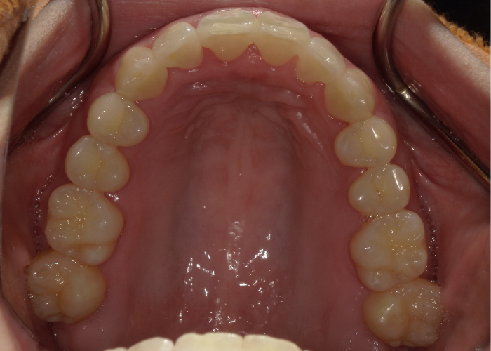
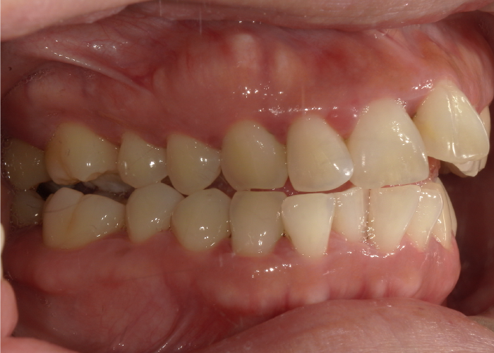
長年、前歯の見た目に悩まされていた方の治療です。左上の前歯が1本だけ出っ歯になっており、下の前歯にもガタつきが認められ、上下噛む面から見た写真では歯列弓の狭窄が認められます。上下正中(真ん中)の不一致も認められます。

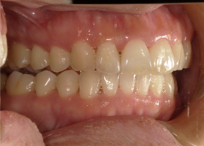
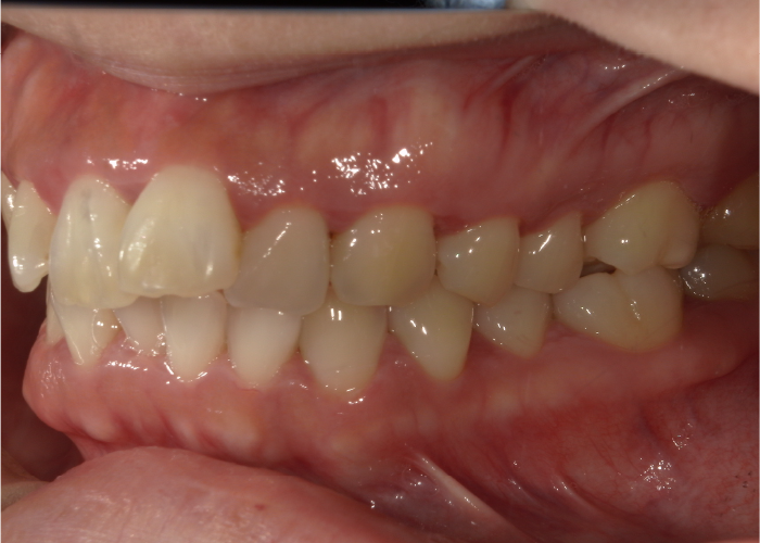
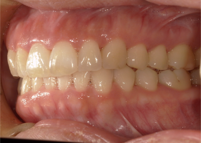
患者様の希望として目立たず早く矯正したいというご要望があったので、マウスピース矯正で、非抜歯で治療することをご提案させていただきました。治療方法は、2級ゴムを使用し上の奥歯を後方に移動させ、上下IPR(歯と歯の間を極少量削って隙間を作る方法)を行い、歯列を側方に拡大させて、歯のアーチを整え前歯の圧下とガタつきの改善を行いました。歯肉退縮が起こらないようCTで骨の状態を確認しながら歯を動かしてます。治療後は、見た目が改善され患者様は大変ご満足頂けました。

当院では、患者様のQOL(生活の質)の向上を最も大切にしています。治療によって長年のお悩みを解消し、これからの人生を明るく自信を持って思いっきり楽しんで頂くことが我々の使命と思っております。

治療前

矯正歯科
矯正歯科
矯正歯科
矯正歯科
矯正歯科
矯正歯科
矯正歯科
矯正歯科
矯正歯科

治療後

矯正歯科
矯正歯科
矯正歯科
矯正歯科
矯正歯科
矯正歯科
矯正歯科
矯正歯科
矯正歯科

治療前後の比較

治療前

矯正歯科

治療後

矯正歯科
矯正歯科
矯正歯科
矯正歯科
矯正歯科
矯正歯科
矯正歯科
矯正歯科
矯正歯科
矯正歯科
矯正歯科
矯正歯科
矯正歯科
矯正歯科
矯正歯科
矯正歯科
矯正歯科

シミュレーション

主訴 左上前歯が出ている・下の歯のガタガタ
治療期間 1年11ヶ月、追加3回
治療費 935,000円(コンプリヘンシブプラン)
治療内容 患者様の希望として目立たず早く矯正したいというご要望があったので、マウスピース矯正で、非抜歯で治療することをご提案させていただきました。
治療方法は、2級ゴムを使用し上の奥歯を後方に移動させ、上下IPR(歯と歯の間を極少量削って隙間を作る方法)を行い、歯列を側方に拡大させて、歯のアーチを整え前歯の圧下とガタつきの改善を行いました。歯肉退縮が起こらないようCTで骨の状態を確認しながら歯を動かしてます。治療後は、見た目が改善され患者様は大変ご満足頂けました。
当院では、患者様のQOL(生活の質)の向上を最も大切にしています。治療によって長年のお悩みを解消し、これからの人生を明るく自信を持って思いっきり楽しんで頂くことが我々の使命と思っております。
治療のリスク 歯肉退縮、ブラックトライアングル、知覚過敏
矯正歯科ページを見る